Pre-clinical studies
Manstein et al. [4] performed animal experiments to evaluate the potential for selective damage to subcutaneous fat with controlled application of cold to the skin surface. Three complementary pig studies were completed: an initial exploratory study, a dosimetry study, and a safety study to assess the potential impact of such selective damage to subcutaneous fat on lipid levels.
The exploratory study was designed to determine the feasibility of using non-invasive cold exposure to remove subcutaneous fat. A slightly convex, circular copper plate was pressed firmly against the skin surface and cooled by circulating cold antifreeze solution at !78C through a heat exchanger chamber attached to the copper plate. The cold exposure was repeated at multiple sites on the pig, with the exposure time varied between 5 and 21 minutes. The pig was observed for 3.5 months for the appearance and persistence of local fat loss. The amount of fat loss at each test site was estimated relative to adjacent unexposed fat at the margins of the test site.
No apparent skin injury was documented in any of the test areas. There was a slight increase in pigmentation at the 1-week follow-up for some of the test sites but there were no hypopigmentation, scarring, or textural changes. On gross observation, selective fat loss was evident by smooth indentation along the surface of the animal of a size and shape similar to that of the cooling device. A reduction of fat in the superficial fat layer was documented at 3.5 months with 80% of the superficial fat layer removed for a total fat loss of 40% from the procedure. Histology further demonstrated a marked reduction in the distance between fat septae.
The dosimetry study was performed on four pigs with a prototype device (ZeltiqTM Aesthetics, Pleasanton, CA) that contained a thermoelectric cooling (TEC) element. A variable, preset plate temperature was maintained constant during each cold exposure by electronic regulation according to temperature sensors embedded within the cooling plate. Test sites were exposed to either a flat configuration with the device applicator pressed firmly against the skin surface or a folded configuration with the skin fold captured between two cooling plates. The cooling temperature ranged from !1 to !78C for 10 minutes. The animals were sacrificed at selected time points that ranged from immediately to 28 days after exposure. Test sites and surrounding areas were clinically assessed and photographed. Histological analyses of the test sites were also completed using deep tissue vertical sections (skin, fat, underlying muscle) stained with hematoxylin and eosin to assess the level of fat damage as well as potential damage to the dermis or epidermis.
No apparent injury of either the epidermis or dermis was documented for any of the test sites, at any time period, during the dosimetry study. Adipocytes appeared normal immediately and 1 day after exposure, but inflammation of the subcutaneous fat became evident as localized clusters of mixed neutrophil and mononuclear cell inflammatory infiltrate in a predominately lobular pattern became apparent. The inflammation continued to intensify through 30 days following exposure with evidence of phagocytosis. Lipid-laden mononuclear inflammatory cells became abundant, the average size of the adipocytes appeared reduced, and a wider range of adipocytes sizes was apparent. The degree of the inflammatory response was also dependent on the temperature used. Blinded grading of the extent of inflammation of the subcutaneous fat demonstrated that fat damage was significantly greater at lower temperatures and increased significantly over time when compared to an unexposed control.
The lipid level study included six animals for which a relatively large area of the skin surface (15%) was exposed to cooling with a prototype cooling device that included a flat copper plate cooled by a TEC element. Test sites were exposed to temperatures that ranged between !5 and !88C for 10 minutes. Blood samples were obtained after a 12-hour fast prior to treatment, within 1 hour and 1 day, 1 week, and 1, 2, and 3 months post-treatment. The lipid levels over time following cold exposure demonstrated no significant change other than a temporary decrease in serum triglycerides immediately following the cold exposure (attributed to fasting prior to and during general anesthesia).
These pre-clinical animal studies demonstrated that it was possible to non-invasively induce selective, localized damage to subcutaneous fat without epidermal or dermal injury. Selective effects on the subcutaneous fat were evident after exposure to cooling on the skin surface with a range of temperatures and exposure times with both histological assessment and gross observation. Persistent fat reduction without any evidence of damage to the skin or an increase in lipid levels was demonstrated.
The findings from these studies were further supported by additional animal studies performed to assess the ability of cryolipolysis to selectively reduce subcutaneous fat without damage to other tissues or a meaningful change in lipid levels or liver function [5]. Four pigs were treated and survived for 90 days. Three pigs received a single treatment; one pig received multiple treatments staged at 90, 60, 30, 14, 7, and 3 days and immediately prior to euthanasia. Approximately 25–30% of the total body surface area was treated in each animal.
Test sites were exposed to cooling based on the rate of energy extraction, that is milliwatts per centimeter squared (mW/cm2 ). A numerical value, referred to as the ‘‘Cooling Intensity Factor’’ (CIF), was used to express the rate of heat extraction and, therefore, cooling of the skin. The pigs that received a single treatment were exposed to CIF 24.5 (!43.8 mW/cm2 ) for 45 minutes with a 5-minute period of tissue massage. The pig that received multiple treatments was treated with CIF 21.5 (!36.8 mW/cm2 ) for 15 minutes at each site. Treated and adjacent areas were evaluated by standardized flash photography and diagnostic ultrasound after 90 days, and necropsy tissue was collected. Lipid levels were completed (on the single treatment animals) at baseline prior to treatment and at 1 day, 1 week, and 1, 2, and 3 months after treatment.
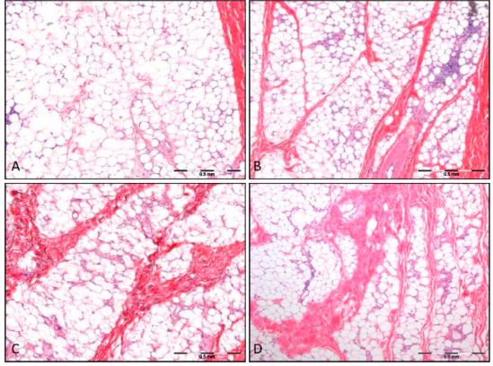
The treatments resulted in a significant reduction in the superficial fat layer without damage to the overlying skin. Smooth inward contour changes, noticeable upon visual examination of the test sites, correlated to decreased thickness of the fat layer as measured by ultrasound 90 days post-treatment. The reduction in the fat layer was 33% as determined from the ultrasound measurements and the pathologic specimens. The reduced fat layer was preceded by an inflammatory response (Fig. 1) triggered by cold-induced apoptosis of adipocytes and subsequent phagocytosis of the lipids. Serum lipids levels remained within the bounds of normal variation throughout the 90-day evaluation period.

Erythema was observed immediately post-treatment and resolved within 30 minutes. The skin was cold to the touch, though not hard or icy, following treatment. There was no evidence of edema, bruising, purpura, or scarring at the time of any follow-up visit or on the day of necropsy. Histologic analysis indicated no discernable damage to the dermis or epidermis in any of the areas treated. In addition, no necrosis was observed in appendageal structures, such as hair follicles or sweat glands.
These animal studies demonstrated that the inflammatory response observed with controlled, selective cooling was consistent with the clinical findings described in the case studies of cold panniculitis observed in infants and female horseback riders. Histological analyses from all of the studies demonstrate that an inflammatory response is initiated in the subcutaneous fat approximately 24 hours after cold exposure. The inflammatory response then continues to intensify with time as the adipocytes are surrounded by histiocytes, neutrophils, lymphocytes, and other mononuclear cells with eventual rupturing of the fat cells.
These animal studies also establish the selective, localized effects of cryolipolysis to significantly reduce subcutaneous fat without causing damage to the overlying skin and the lack of effect on serum lipid levels in the animal model.