SQT BIO-MICRONEEDLING

The future of skin needling is needle-free with SQT Bio-Microneedling. New skin in 7 days!

BOOK NOW

NEW SKIN IN 7 DAYS!

Free from traditional needles, SQT Australia’s Bio-Microneedling is powered by nature’s finest micro-sculptors — spongilla spicules. These microscopic needles are extracted from freshwater sponges and deliver unparalleled skin needling results that traditional microneedling can only dream of.

Spongilla spicules contain essential nutrients and minerals, reaching deep into the skin’s dermal layer to boost collagen and elastin production. This process, enhanced by a patented purification technology, accelerates cell turnover to just 5-7 days, instead of the typical 28 days with traditional micro-needling!

One SQT Bio-Microneedling Treatment equals 3-5 traditional microneedling sessions

Bio-Microneedling creates 3-5 million micro-channels in minutes, compared to only 30,000 with traditional microneedling. This maximises nutrient delivery and stimulates the skin from the inside out.

Enjoy beautiful results in just 5-7 days, as opposed to 28 with traditional microneedling.

During your skin needling treatment, three to five million siliceous microneedles from freshwater sponges are pushed into the epidermis, stimulating your skin for up to 72 hours before naturally falling out. This non-invasive process creates controlled micro-injuries in the skin enhancing collagen and elastin production, speeding up cell turnover, and improving your skin’s overall texture for a beautiful glow.

RICH IN MINERALS & NUTRIENTS

Spongilla spicules nourish skin cells from within, stimulating collagen and elastin production for youthful vibrancy.

UNMATCHED FORMULA PURITY

SQT Australia’s 99.2% pure endoskeleton acupuncture powder penetrates pores more effectively than any device, ensuring a gentle yet powerful treatment experience.

BIOCOMPATIBLE & 100% NATURAL

Extracted from freshwater sponges, these 100% natural bio-microneedles are gentle enough for all skin types and safe to use anywhere on the body.

  • Active Acne & Scarring
  • Wrinkles & Fine Lines
  • Blackheads
  • Open Pores
  • Pigmentation & Sunspots
  • Brightens Dull Skin 
  • Exfoliation
  • Stretch Marks & Scars
  • Texture & Tone
  • Collagen Production 
  • Rosacea
  • Melasma
REPAIR & RESURFACE

Repair & resurface oily/combination skin or acne-prone skin to visibly reduce breakouts and acne scarring while enhancing your skin’s overall health and appearance.

NOURISH & HYDRATE

Invigorate your skin from within with this skin-boosting treatment designed to replenish damaged skin, repair collagen fibres and reduce trans-epidermal water loss.

REVITALISE

From pigmentation to dry or sensitive skin, skin needling treatment revitalises all skin types. It’s clinically approved botanical blend tackles various skin concerns while refining skin texture and evening out tone for a smoother complexion. Invigorate your skin from within with this skin-boosting treatment designed to replenish damaged skin, repair collagen fibres and reduce trans-epidermal water loss.

ANTI-AGEING

Unveil radiant, youthful skin no matter your skin type. Packed with powerful anti-aging peptides, this gentle, yet transformative system turns back the clock without peeling and requires minimal downtime — making it the ideal pre-event skin needling solution for effortless, ageless beauty.

This revolutionary and patented new type of skin needling uses all natural materials for faster and more effective results.

SQT Bio-Microneedling Traditional Microneedling
1 session 3-5 sessions
3000% product absorption 500% product absorption
7-day cell turnover 28-day cell turnover
3-5 million micro-channels Less than 200,000 micro-channels
No risk of infection Risk of infection
15-minute application 30-minute application
No skin penetration or numbing cream Skin penetration, requires numbing cream
Can be used on active acne Cannot be used on active acne

Free from traditional needles, SQT Australia’s Bio-Microneedling is powered by nature’s finest micro-sculptors — spongilla spicules. These microscopic needles are extracted from freshwater sponges and deliver unparalleled skin needling results that traditional microneedling can only dream of.

Spongilla spicules contain essential nutrients and minerals, reaching deep into the skin’s dermal layer to boost collagen and elastin production. This process, enhanced by a patented purification technology, accelerates cell turnover to just 5-7 days, instead of the typical 28 days with traditional micro-needling!

One SQT Bio-Microneedling Treatment equals 3-5 traditional microneedling sessions

Bio-Microneedling creates 3-5 million micro-channels in minutes, compared to only 30,000 with traditional microneedling. This maximises nutrient delivery and stimulates the skin from the inside out.

Enjoy beautiful results in just 5-7 days, as opposed to 28 with traditional microneedling.

During your skin needling treatment, three to five million siliceous microneedles from freshwater sponges are pushed into the epidermis, stimulating your skin for up to 72 hours before naturally falling out. This non-invasive process creates controlled micro-injuries in the skin enhancing collagen and elastin production, speeding up cell turnover, and improving your skin’s overall texture for a beautiful glow.

RICH IN MINERALS & NUTRIENTS

Spongilla spicules nourish skin cells from within, stimulating collagen and elastin production for youthful vibrancy.

UNMATCHED FORMULA PURITY

SQT Australia’s 99.2% pure endoskeleton acupuncture powder penetrates pores more effectively than any device, ensuring a gentle yet powerful treatment experience.

BIOCOMPATIBLE & 100% NATURAL

Extracted from freshwater sponges, these 100% natural bio-microneedles are gentle enough for all skin types and safe to use anywhere on the body.

  • Active Acne & Scarring
  • Wrinkles & Fine Lines
  • Blackheads
  • Open Pores
  • Pigmentation & Sunspots
  • Brightens Dull Skin 
  • Exfoliation
  • Stretch Marks & Scars
  • Texture & Tone
  • Collagen Production 
  • Rosacea
  • Melasma

REPAIR & RESURFACE

Repair & resurface oily/combination skin or acne-prone skin to visibly reduce breakouts and acne scarring while enhancing your skin’s overall health and appearance.

NOURISH & HYDRATE

Invigorate your skin from within with this skin-boosting treatment designed to replenish damaged skin, repair collagen fibres and reduce trans-epidermal water loss.

REVITALISE

From pigmentation to dry or sensitive skin, skin needling treatment revitalises all skin types. It’s clinically approved botanical blend tackles various skin concerns while refining skin texture and evening out tone for a smoother complexion. Invigorate your skin from within with this skin-boosting treatment designed to replenish damaged skin, repair collagen fibres and reduce trans-epidermal water loss.

ANTI-AGEING

Unveil radiant, youthful skin no matter your skin type. Packed with powerful anti-aging peptides, this gentle, yet transformative system turns back the clock without peeling and requires minimal downtime — making it the ideal pre-event skin needling solution for effortless, ageless beauty.

This revolutionary and patented new type of skin needling uses all natural materials for faster and more effective results.

SQT Bio-Microneedling Traditional Microneedling
1 session 3-5 sessions
3000% product absorption 500% product absorption
7-day cell turnover 28-day cell turnover
3-5 million micro-channels Less than 200,000 micro-channels
No risk of infection Risk of infection
15-minute application 30-minute application
No skin penetration or numbing cream Skin penetration, requires numbing cream
Can be used on active acne Cannot be used on active acne

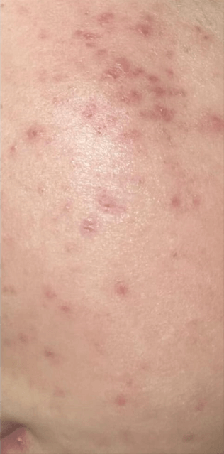
BEFORE AND AFTERS

Before

after

Before

after

Before

after

Before

after

Before

after

Before

after

Before

after

Before

after

Before

after

Why Body Catalyst?

The body catalyst blueprint

Treatment stacking

Strategically combining treatments to deliver fast, more effective results

Scientifically proven

TGA Approved & medical-grade technology backed by science

Exclusive training academy

Expert therapists trained to the highest standard through our Catalyst Collective academy

Personalised for you

No two bodies or skin types are the same, so neither shall your treatment plan be

BOOK A FREE SKIN ASSESSMENT

No two skins are the same, so why should your skincare plan be? Book a consultation with one of our qualified therapists to discuss your skin goals, budget, time frame, and expectations, and we’ll create the perfect plan for you. Your consultation is the catalyst for the glow you want to see and feel. So, book now. Your future self will thank you!

IS SQT BIO-MICRONEEDLING FOR ME?

Bio-Microneedling is a versatile skincare treatment designed to address a wide range of skin concerns including reducing the appearance of fine lines and wrinkles, acne and acne scarring, pigmentation and uneven skin tone. It is suitable for most skin types and can be customised to meet your specific needs with one of our four Bio-Microneedling treatments. To determine which treatment plan is right for you, book your complimentary skin needling analysis now to get started.

FAQ

Free from traditional needles, SQT Australia’s Bio-Microneedling is powered by nature’s finest micro-sculptors — spongilla spicules. These microscopic needles are extracted from freshwater sponges and deliver unparalleled results that traditional microneedling can only dream of. One SQT Bio-Microneedling treatment is the equivalent of 3-5 traditional microneedling sessions.

Spongilla spicules contain essential nutrients and minerals, reaching deep into the skin’s dermal layer to boost collagen and elastin production. This process, enhanced by a patented purification technology, accelerates cell turnover to just 5-7 days, instead of the typical 28 days with traditional micro-needling!

One SQT Australia Bio-Microneedling treatment is the equivalent of 3-5 traditional microneedling sessions. It takes an average of 28 days to see the final results with traditional micro-needling treatments, however, with Bio-Microneedling, it only takes between 5-7 to enjoy the full results! Bio-Microneedling creates 3-5 million micro-channels in the skin for maximum nutrient delivery. By comparison, dermarolling and traditional microneedling treatments only create 30,000 micro-channels.

SQT Bio-Microneedling Traditional Microneedling
1 session 3-5 sessions
3000% product absorption 500% product absorption
7-day cell turnover 28-day cell turnover
3-5 million micro-channels Less than 200,000 micro-channels
No risk of infection Risk of infection
15-minute application 30-minute application
No skin penetration or numbing cream Skin penetration, requires numbing cream
Can be used on active acne Cannot be used on active acne

Bio-Microneedling is suitable for most skin types and can address a variety of concerns including reducing the appearance of fine lines and wrinkles, acne and acne scarring, pigmentation and uneven skin tone.

Spicule application is a gentle 15 mins, finishing off with a nourishing, hydrating mask for 10 mins. Total treatment time is 30 – 45 minutes.

There is minimal downtime with Bio-Microneedling. You may experience redness and slight swelling for a few days post-treatment, similar to a mild sunburn. Most people resume their normal activities within 24-48 hours.

You’ll enjoy results in as little as 5-7 days, much faster than traditional micro-needling, which generally takes up to 28 days

The number of sessions required varies depending on individual skin concerns and desired outcomes. Typically, a series of 3-6 treatments spaced 2-4 weeks apart is recommended for best results.

Yes! Bio-Microneedling is effective at reducing the appearance of active acne and acne scarring by promoting collagen and elastin production, which helps smooth and repair the skin.

Yes! Bio-Microneedling is a very safe and effective skin needling treatment. The microscopic needles are derived from freshwater sponges. Common side effects include temporary redness, swelling and mild discomfort, however subside within a few days

Siliceous Bio-Microneedles (Spongilla Spicules), extracted from a freshwater sponge, are used instead of traditional needles. Spicules are the endoskeleton of a sponge. They are a sharp, barbed like structure that contain important nutrients and minerals for the skin.

These microscopic bio-needles penetrate pores activating skin microcirculation, relieve clogged pores, accelerate skin metabolism, and exfoliate ageing skin cells, reducing the skin’s renewal cycle from 28 days to just 7 days!

Stay In The Know

Keep in touch with Body Catalyst by subscribing today